• 三级甲等中医医院
  • 国家中医住院医师规范化培训基地
  • 国家首批肿瘤多学科诊疗试点医院
  • 国家高级卒中中心
  • 国家胸痛中心
  • 回到旧版
  • 无障碍浏览
  • 长者版

    口腔健康危害之牙周炎

    时间:2024-01-30   浏览次数:1976

    您是否有过以下情况?

            晨起时自觉口腔血腥味?

            刷牙时、咬硬物时牙龈出血?

            口腔异味、口臭?

            进食冷热食物牙齿不适,后牙咀嚼无力?

            牙齿移位、牙缝变大,牙龈反复红肿不适?

    C:\Users\asus\Documents\WeChat Files\wxid_vvwtu3inkxi422\FileStorage\Temp\a2fa3b70472d6826fb548e476a1d308.jpgC:\Users\asus\Documents\WeChat Files\wxid_vvwtu3inkxi422\FileStorage\Temp\bf3525270199516c30587997c3804d2.jpg

    C:\Users\asus\Documents\WeChat Files\wxid_vvwtu3inkxi422\FileStorage\Temp\368cda68c11b55b50260e2986789136.jpg C:\Users\asus\Documents\WeChat Files\wxid_vvwtu3inkxi422\FileStorage\Temp\f32ad3e06489cb54709b1db1992f3dd.jpg

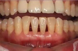
    如果有过上述情况,那么大概率是您的口腔健康情况出现了问题。正常情况下我们牙龈是呈现粉红色,无肿胀出血情况,而在炎症情况下表现为鲜红或暗色,水肿松软,甚至出血、流脓。

    C:\Users\asus\Documents\WeChat Files\wxid_vvwtu3inkxi422\FileStorage\Temp\490338b6561df3b50fb4bb557cfd277.jpgC:\Users\asus\Documents\WeChat Files\wxid_vvwtu3inkxi422\FileStorage\Temp\47eb04e1e7aeeb0cc2709195d62354c.jpg

    牙周炎可发生于任何年龄,大多数为成年人,男女性别无差异,由于细菌菌斑的累牙龈出现炎症,病情的变化也会随着时间累逐渐加重。表现形式初期明显表现为牙龈出,随之伴发出现口臭、牙周脓肿、牙龈退缩牙根敏感、牙齿龋坏、食物嵌塞、逆行性牙髓炎、牙松动或移位甚至脱落。

    C:\Users\asus\Documents\WeChat Files\wxid_vvwtu3inkxi422\FileStorage\Temp\4c37ea2185c7c6795a0b1cdec1d6a0d.jpgC:\Users\asus\Documents\WeChat Files\wxid_vvwtu3inkxi422\FileStorage\Temp\3928f00bfa92068ca4466f379346109.jpgC:\Users\asus\Documents\WeChat Files\wxid_vvwtu3inkxi422\FileStorage\Temp\d5939982dd8a6350987475383c68680.jpg

    在相关文献报道中也明确指出牙周疾病可能与全身健康或疾病存在双向关系,如果有相关情况应积极就医,早发现,早控制,早解决,积极应对,在医生指导下进行相关诊疗,不仅仅是保护口腔健康,也有利于全身健康。

    专家门诊时间:


  • 六安市中医院公众号
  • 六安市中医院视频号